Before and After
Before and After Dental Treatment pictures
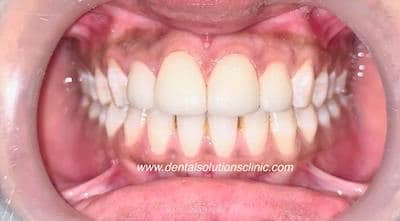
Dental Veneers – Before And After
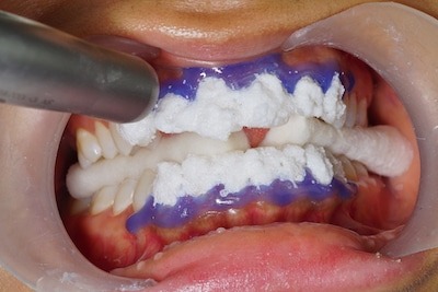
During Treatment

Before and After


Laser Dental Bleaching – Before And After
Before and After


During Treatment

Cervical Caries Treatment Without Drilling – Before And After
Hollywood Smile Procedure With Dental Crowns – Before And After
